Issue, August, 2025

Newsletter

Conceptual Surgery

July Highlights: If You Missed These, You’re Already Behind!

Every once in a while, some sessions gain massive attention — not because they’re trending, but because they genuinely transform how surgical residents understand and approach key topics. July was one such month on Conceptual Surgery.

We featured game-changing lectures that brought real surgeries to your screen, simplified complicated anatomy, and offered exam-ready clinical pearls.
If you’re a surgery resident or a future surgeon, these are non-negotiables.

1. Laparoscopic Cholecystectomy Step-by-Step By Dr. Harsh Sheth | Laparoscopic & Robotic Surgeon

This isn’t a theory class — it’s a full operative walkthrough of laparoscopic cholecystectomy performed by one of Mumbai’s leading surgeons. You get to observe the entire procedure as it happens, while Dr. Sheth explains each decision and move.

What You’ll Learn:

  • When and when not to do a lap chole: Understand the absolute and relative contraindications.
  • Port placement & instrumentation: Learn exactly where and how ports are placed and which instruments are used.
  • Step-by-step dissection technique: Watch a precise dissection of Calot’s triangle and know what “critical view of safety” really looks like.
  • Real operative footage: Not simulated. Real patient. Real insights.
  • Expert commentary throughout: Dr. Sheth walks you through complications and anatomical tips live.

A must-watch if you’re going to scrub into your first lap chole soon or want to sharpen your understanding

Click Here to Watch

2. Penile Fracture: Diagnosis, Anatomy & Management Simplified By Prof. Dr. R. C. M Kaza

Penile fracture might sound rare, but when it presents, it’s a surgical emergency that every general surgeon must manage with clarity and confidence. This lecture gives you just that — clarity.

What You’ll Learn:

  • Types of penile injuries: Know the difference between blunt trauma, penetrating injury, and actual fracture.
  • Surgical anatomy: Understand the Tunica Albuginea, Buck’s fascia, and how the “Butterfly sign” helps identify deeper injuries.
  • Emergency management: When and how to intervene surgically.
  • Visual learning: Diagrams and visuals help cement your understanding of cross-sectional penile anatomy.

Essential for viva, emergency room postings, and real-world practice.

Click Here to Watch

3. Surgical Anatomy of Liver – Simplified with Q&A By Dr. Rakesh Mittal

Liver anatomy is one of the most confusing yet vital topics in surgical education. This session breaks it down visually and logically, making it stick in your memory.

What You’ll Learn:

  • Couinaud’s liver segments simplified: Use the “clock method” to remember them.
  • Portal triad anatomy: Know the course of the hepatic artery, portal vein, and bile duct.
  • Surgical vs anatomical divisions: Learn where to cut and why.
  • Cantlie’s line: Understand its role in resections.
  • Unique features of Segment 1: And how it affects surgical planning.

You’ll never look at a liver the same way again.

Click Here to Watch

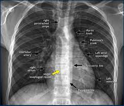
4. Imaging in Surgery: X-Ray Interpretation Made Easy By Dr. Amrit Nasta

Image-based questions are now standard in NEET SS, FMGE, and surgical vivas. This lecture equips you with a step-by-step method to confidently handle X-ray-based questions.

📌 What You’ll Learn:

  • How to describe any surgical x-ray: From top to bottom — lines, shadows, foreign bodies, everything.
  • PA vs AP views: Know how positioning affects interpretation.
  • Common x-rays in surgery: GI perforation, chest x-ray, contrast studies, foreign body cases.
  • How to think like an examiner: What they want to hear in a viva.

If you fear X-ray interpretation, this video is your shortcut to mastery.

Click Here to Watch

5. Adrenal Gland Anatomy & Physiology Explained By Dr. Shailesh Gupta

Why You Need This:
Adrenal topics are high-yield but often skipped due to complexity. This lecture bridges that gap, giving you a complete understanding from embryology to surgical dissection.

What You’ll Learn:

  • Adrenal embryology made easy: Why adrenal position and blood supply are so unique.
  • Arterial & venous supply: Understand surgical relevance and risks during adrenalectomy.
  • Histological zones (ZG, ZF, ZR, Medulla): And what hormones they secrete.
  • Steroidogenesis simplified: Know what to expect in different adrenal pathologies.
  • Clinical pearls: What to look for before, during, and after adrenal surgery.

No more skipping this in your theory or OP notes.

Click Here to Watch

Don’t Just Watch — Start Mastering Surgery

At Conceptual Surgery, we’re not just uploading videos. We’re building your surgical mind — step by step, layer by layer.

Watch Live Surgical Sessions. Access Expert Notes & Free Videos. Get Exam-Oriented, Case-Based Teaching. Learn Directly From India’s Best Surgical Teachers.

Download the eConceptual App Today 

 🎯 Subscribe to Conceptual Surgery and take the lead in your surgical residency.
Because in surgery, it’s not about how many books you’ve read —
It’s about how many concepts you’ve mastered.